3d Slicer Model Maker


How Do You Scale 3d Printed Terrain Pieces For Your Games Home

How Do You Scale 3d Printed Terrain Pieces For Your Games Home

Ppt 3d Slicer A Free Open Source Platform For Medical Image

Ppt 3d Slicer A Free Open Source Platform For Medical Image

Easy 3d Topographical Maps With Slicer 6 Steps With Pictures

Easy 3d Topographical Maps With Slicer 6 Steps With Pictures

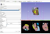
Hands On Tutorial Using 3d Slicer With The Prostate Diagnosis

Hands On Tutorial Using 3d Slicer With The Prostate Diagnosis

Slicer3 4 Training Slicer Wiki

Slicer3 4 Training Slicer Wiki