Convert Dicom To 3d Model Python


Documentation Nightly Scriptrepository Slicer Wiki

Documentation Nightly Scriptrepository Slicer Wiki

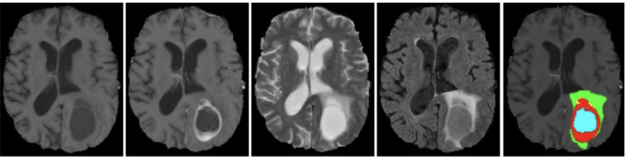
Deep Learning With Magnetic Resonance And Computed Tomography

Deep Learning With Magnetic Resonance And Computed Tomography

How To Make A 3d Printable Cad Model From Mr Scans 13 Steps

How To Make A 3d Printable Cad Model From Mr Scans 13 Steps

What Is The Best Way To Generate A 3d Model Out Of A Series Of A

What Is The Best Way To Generate A 3d Model Out Of A Series Of A

Basics For Ct Medical Imaging Python By Vaibhav Bahel

Basics For Ct Medical Imaging Python By Vaibhav Bahel